Fix the root cause of neck pain, headaches, and poor posture caused by daily screen use.

Tech neck (also called forward head posture) happens when your head shifts forward from its balanced position above your shoulders. It's like holding a bowling ball (your head) with one finger instead of your whole hand - the strain adds up quickly.
Every inch your head moves forward adds about 10 pounds of pressure to your neck and upper back.
No wonder your body is complaining!
Ask yourself:
If you answered yes to any of these questions, you might be dealing with tech neck.
Many people think tech neck is just a temporary discomfort, but it can lead to serious problems:
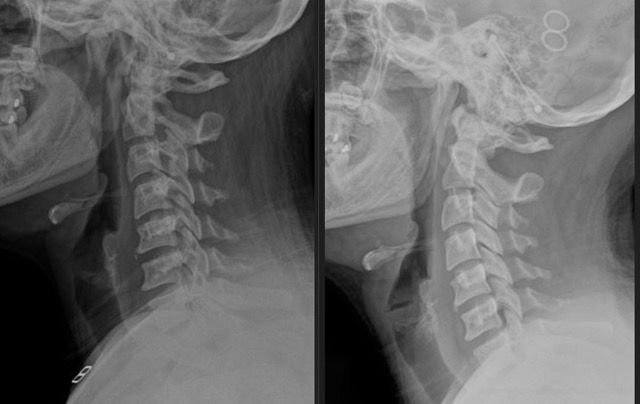
What happens if I ignore this problem? Here is an example of two x-rays taken of the same person 11 years apart with no treatment. It doesn't magically get better. It keeps getting worse.

Unlike general approaches that only address the symptoms, we focus on correcting the structural cause of tech neck. Our process includes:
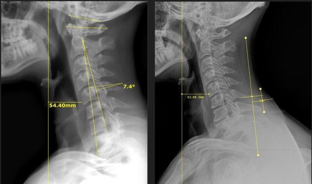
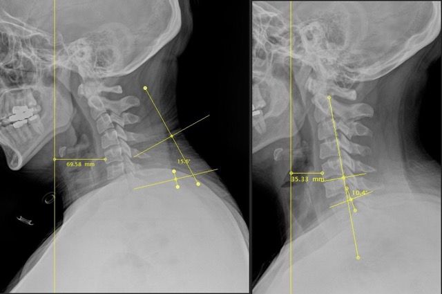
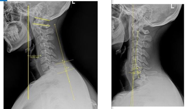
We use detailed X-rays to measure the exact position of your head in relation to your spine. This gives us a clear starting point and allows us to track your improvement with objective measurements.
Based on your specific measurements, we create a personalized plan that includes:
We take follow-up X-rays to show you exactly how your spine is changing. The images don't lie - you'll see real structural improvement, not just temporary relief.
Our before and after X-rays show dramatic improvements in neck curve and head positioning. What many people think is a permanent problem can actually change with the right care.


"Working in tech, I'm on my computer all day. I started getting terrible neck pain and headaches around 3pm every day. My colleagues recommended taking more breaks or getting a standing desk, but nothing helped. After three months at 5280 Chiropractic, not only is my pain gone, but my follow-up X-rays showed a 50% improvement in my neck curve. My posture is better, I'm sleeping better, and I have more energy throughout the day." – Michael S., Software Developer
While professional care is needed to correct structural issues, here are some habits that can help minimize tech neck:
Don't wait until the problem gets worse. The earlier we address tech neck, the easier it is to correct.
Most patients notice some relief from pain and tension within the first few visits. Structural correction typically takes 2-3 months of consistent care, depending on severity.
With proper maintenance and improved habits, the corrections can hold long-term. We'll teach you how to maintain your improvements.
Many insurance plans cover chiropractic care. Our team will verify your benefits before you begin care.
Our approach is focused on structural correction with objective measurements, not just temporary pain relief. We can show you the difference in your spine with before and after X-rays.
From stiffness to shooting pain down your leg, lower back issues and sciatica can disrupt your daily life. What starts as mild discomfort can quickly turn into chronic pain. Discover how to fix the root cause before it gets worse.
So much of our lives put us in to bad postures and positions that over time can negatively impact our health and quality of life. At 5280 Chiropractic, we use chiropractic and exercise to correct chronic posture patterns.
Even minor car accidents can cause lasting damage to your spine and nervous system, often without immediate pain. Learn why early evaluation is critical and how we correct the damage at its source.
Located on the corner of 16th and Welton in the Masonic Building. Parking provided at the Denver Pavillions underground lot.
Tel
(303) 371-5280
Fax
(303) 623-0446
5280chiro@gmail.com
5280 Chiropractic 535 16th Street Mall, Suite 200 Denver, Colorado 80202 United States
Mon, Wed, Thurs:
10am - 1pm, 3pm - 6pm
Friday:
10am - 1pm
Tue, Sat, Sun:
CLOSED